Akoya Biosciences Unveils Comprehensive Roadmap of Innovations at Inaugural Spatial Day Event

December 15, 2021

-Company previews an integrated suite of solutions, including the new PhenoCycler-Fusion System for unbiased spatial discovery, at unprecedented speeds

-Innovations include a novel spatial transcriptomics chemistry and universal protein chemistry for accelerated biomarker discovery and validation

MARLBOROUGH, Mass., Dec. 15, 2021 (GLOBE NEWSWIRE) -- Akoya Biosciences, Inc., (Nasdaq: AKYA), The Spatial Biology Company®, today unveiled its next-generation of innovations to enable unbiased spatial phenotyping at unprecedented speeds, setting a new standard in spatial biology. The comprehensive roadmap includes additions to the instrument portfolio and novel chemistries that, collectively, make it the most integrated suite of solutions spanning discovery, translational and clinical research.

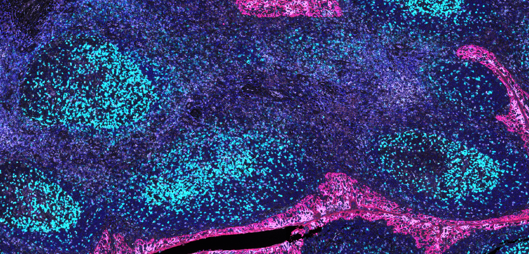
As part of the instrument portfolio expansion, the company announced the imminent launch of the PhenoCycler-Fusion System, a transformational platform that allows researchers to map a million cells in as little as 10 minutes. The new system combines the strengths of the company’s best-in-class ultrahigh multiplex cycling technology, CODEX®, and the industry-leading high-speed imaging capabilities of its Vectra® Polaris system, into an integrated platform that is positioned to revolutionize spatial discovery and translational research. This fusion of the company’s foundational technological capabilities delivers ultrahigh multiplexed imaging at single-cell and subcellular resolution across entire slides, more than ten times faster than traditional methods.

To underscore the powerful future of this integrated spatial phenotyping portfolio, Akoya is rebranding its existing products. Effective January 2022, CODEX will become PhenoCycler, the Phenoptics™ workflow will be renamed as the PhenoImager workflow, and the Vectra Polaris instrument will become the PhenoImager HT instrument.

In addition to enabling unbiased spatial discovery through rapid whole-slide imaging, the PhenoCycler-Fusion has a tunable workflow that allows researchers to run large panels in discovery mode and focused panels in high throughput mode. This unique capability accelerates the translation of spatial biomarker signatures onto the PhenoImager HT instrument for clinical research applications.

With the PhenoCycler-Fusion at the core of its strategic roadmap, Akoya also previewed upcoming innovations in its reagent chemistry. For the first time, the company will enable spatial transcriptomics capabilities on its platforms, leveraging a novel RNA chemistry. Incorporating both proteomic and transcriptomic analysis capabilities from the same tissue sample makes PhenoCycler-Fusion the only practical solution for complete multiomic assessment of cellular phenotypes, with whole-slide spatial context.

In addition, Akoya also previewed a novel protein chemistry that supports the development of universal barcoded antibodies to run on both its PhenoCycler-Fusion and PhenoImager instruments, enabling researchers to optimize the same spatial phenotyping assay from discovery, all the way to clinical research.

“Our comprehensive roadmap for unbiased, multiomic spatial phenotyping will enable our customers to further accelerate their use of our platforms, enabling more rapid discovery and validation of predictive biomarkers,” said Brian McKelligon, Chief Executive Officer of Akoya Biosciences. “We’re excited to see how the scientific community will apply these innovations in advancing our understanding of biology and human health.”

The PhenoCycler-Fusion System will be shipped in limited quantities to selected sites in December 2021, with a full commercial launch set for January 2022. More details on the universal RNA and protein chemistries will be revealed throughout 2022. To stay up-to-date on the launch, sign up at akoyabio.com/fusion.

A recording of Akoya’s Spatial Day Event can be accessed at akoyabio.com/spatialday.

About Akoya Biosciences

As The Spatial Biology Company®, Akoya Biosciences’ mission is to bring context to the world of biology and human health through the power of spatial phenotyping. The company offers comprehensive single-cell imaging solutions that allow researchers to phenotype cells with spatial context and visualize how they organize and interact to influence disease progression and treatment response. Akoya offers two distinct solutions, the CODEX® and Phenoptics™ platforms, to serve the diverse needs of researchers across discovery, translational and clinical research. To learn more about Akoya, visit akoyabio.com.

Investor Contact:
Priyam Shah
Sr. Director, Investor Relations
Akoya Biosciences
investors@akoyabio.com

Media Contact:

Michelle Linn
Bioscribe, Inc.
774-696-3803
michelle@bioscribe.com

Photos accompanying this announcement are available at
https://www.globenewswire.com/NewsRoom/AttachmentNg/b6bfa273-7790-4d66-b181-4cde08f11cdb
https://www.globenewswire.com/NewsRoom/AttachmentNg/7bcb1249-2fc1-4805-82e7-c3027841d855



Search Investor Relations